中文名稱: 兔抗CAPN9多克隆抗體
英文名稱: Anti-CAPN9 rabbit polyclonal antibody
別 名: GC36; nCL-4
抗 原: CAPN9
儲 存: 冷凍(-20℃)
宿 主: Rabbit
反應種屬: Human, Mouse, Rat
相關類別: 一抗
標 記 物: Unconjugate
克隆類型: rabbit polyclonal
技術規格
|
Background: |
Calpains are ubiquitous, well-conserved family of calcium-dependent, cysteine proteases. The calpain proteins are heterodimers consisting of an invariant small subunit and variable large subunits. The large subunit possesses a cysteine protease domain, and both subunits possess calcium-binding domains. Calpains have been implicated in neurodegenerative processes, as their activation can be triggered by calcium influx and oxidative stress. The protein encoded by this gene is expressed predominantly in stomach and small intestine and may have specialized functions in the digestive tract. This gene is thought to be associated with gastric cancer. Multiple alternatively spliced transcript variants encoding different isoforms have been found for this gene. |
|
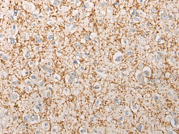
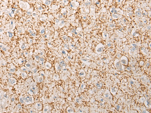
Applications: |
ELISA, IHC |
|
Name of antibody: |
CAPN9 |
|
Immunogen: |
Synthetic peptide of human CAPN9 |
|
Full name: |
calpain 9 |
|
Synonyms: |
GC36; nCL-4 |
|
SwissProt: |
O14815 |
|
ELISA Recommended dilution: |
5000-10000 |
|
IHC positive control: |
Human brain |
|
IHC Recommend dilution: |
25-100 |
購物車
幫助
021-54845833/15800441009
