中文名稱:兔抗SEPT6 多克隆抗體
英文名稱: Anti-SEPT6 rabbit polyclonal antibody
別 名: SEP2; SEPT2
相關類別: 一抗
儲 存: 冷凍(-20℃) 避光
宿 主: Rabbit
抗 原: SEPT6
反應種屬: Human
標記物: Unconjugate
克隆類型: Unconjugate
技術規格
|
Background: |
This gene is a member of the septin family of GTPases. Members of this family are required for cytokinesis. One version of pediatric acute myeloid leukemia is the result of a reciprocal translocation between chromosomes 11 and X, with the breakpoint associated with the genes encoding the mixed-lineage leukemia and septin 2 proteins. This gene encodes four transcript variants encoding three distinct isoforms. An additional transcript variant has been identified, but its biological validity has not been determined. |
|
Applications: |
WB, IHC |
|
Name of antibody: |
SEPT6 |
|
Immunogen: |
Synthesized peptide derived from internal of human SEPT6. |
|
Full name: |
septin 6 |
|
Synonyms: |
SEP2; SEPT2 |
|
SwissProt: |
Q14141 |
|
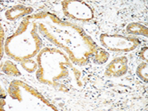
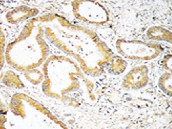
IHC positive control: |
Human colon carcinoma tissue |
|
IHC Recommend dilution: |
50-100 |
|
WB Predicted band size: |
50 kDa |
|
WB Positive control: |
Jurkat cells lysate |
|
WB Recommended dilution: |
500-3000 |


購物車
幫助
021-54845833/15800441009
