|
Background: |
This gene is the putative transforming gene of avian sarcoma virus 17. It encodes a protein which is highly similar to the viral protein, and which interacts directly with specific target DNA sequences to regulate gene expression. This gene is intronless and is mapped to 1p32-p31, a chromosomal region involved in both translocations and deletions in human malignancies. |
|
Applications: |
WB, IHC |
|
Name of antibody: |
JUN (Phospho-Ser243) |
|
Immunogen: |
Synthetic peptide of human JUN (Phospho-Ser243) |
|
Full name: |
jun proto-oncogene (Phospho-Ser243) |
|
Synonyms: |
AH119; AP1; Jun A; c-Jun; p39 |
|
SwissProt: |
P05412 |
|
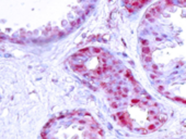
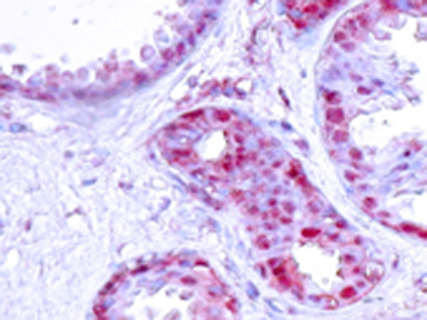
IHC positive control: |
Human breast carcinoma |
|
IHC Recommend dilution: |
50-100 |
|
WB Predicted band size: |
36 kDa |
|
WB Positive control: |
Sorbitol-treated 293, Serum-treated C2C12 and UV-treated HepG2 cells |
|
WB Recommended dilution: |
500-1000 |

購物車
幫助
021-54845833/15800441009
