中文名稱: 兔抗NR2C2AP多克隆抗體
英文名稱: Anti-NR2C2AP rabbit polyclonal antibody
別 名: nuclear receptor 2C2 associated protein TRA16
抗 原: NR2C2AP
儲 存: 冷凍(-20℃)
宿 主: Rabbit
相關類別: 一抗
反應種屬: Human, Mouse
標 記 物: Unconjugate
克隆類型: rabbit polyclonal
技術規格
|
Background: |
May act as a repressor of NR2C2-mediated transactivation by suppressing the binding between NR2C2/TR4 and the TR4-response element in target genes. |
|
Applications: |
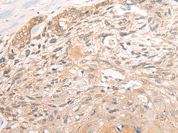
ELISA, IHC |
|
Name of antibody: |
NR2C2AP |
|
Immunogen: |
Full length fusion protein |
|
Full name: |
nuclear receptor 2C2 associated protein |
|
Synonyms: |
TRA16 |
|
SwissProt: |
Q86WQ0 |
|
ELISA Recommended dilution: |
5000-10000 |
|
IHC positive control: |
Human esophagus cancer |
|
IHC Recommend dilution: |
25-100 |
購物車
幫助
021-54845833/15800441009
