中文名稱: 兔抗NR3C1多克隆抗體
英文名稱: Anti-NR3C1 rabbit polyclonal antibody
別 名: GR; GCR; GRL; GCCR
相關類別: 一抗
抗 原: NR3C1
儲 存: 冷凍(-20℃)
宿 主: Rabbit
反應種屬: Human, Mouse, Rat
標 記 物: Unconjugate
克隆類型: rabbit polyclonal
技術規格
|
Background: |
This gene encodes glucocorticoid receptor, which can function both as a transcription factor that binds to glucocorticoid response elements in the promoters of glucocorticoid responsive genes to activate their transcription, and as a regulator of other transcription factors. This receptor is typically found in the cytoplasm, but upon ligand binding, is transported into the nucleus. It is involved in inflammatory responses, cellular proliferation, and differentiation in target tissues. Mutations in this gene are associated with generalized glucocorticoid resistance. |
|
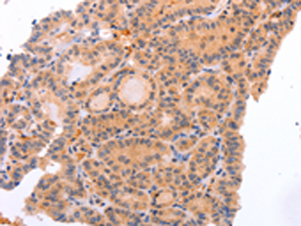
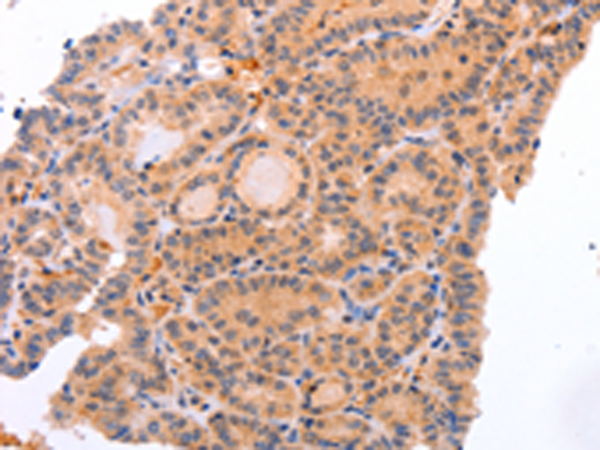
Applications: |
ELISA, IHC |
|
Name of antibody: |
NR3C1 |
|
Immunogen: |
Synthetic peptide of human NR3C1 |
|
Full name: |
nuclear receptor subfamily 3, group C, member 1 (glucocorticoid receptor) |
|
Synonyms: |
GR; GCR; GRL; GCCR |
|
SwissProt: |
P04150 |
|
ELISA Recommended dilution: |
1000-2000 |
|
IHC positive control: |
Human thyroid cancer and Human lung cancer |
|
IHC Recommend dilution: |
15-50 |

購物車
幫助
021-54845833/15800441009
