中文名稱:兔抗RAP1A多克隆抗體
英文名稱: Anti-RAP1A rabbit polyclonal antibody
別 名: RAP1; KREV1; KREV-1; SMGP21
抗 原: RAP1A
儲 存: 冷凍(-20℃)
宿 主: Rabbit
相關類別: 一抗
反應種屬: Human, Mouse, Rat
標記物: Unconjugate
克隆類型: rabbit polyclonal
Background:
This gene encodes a member of the Ras family of small GTPases. The encoded protein undergoes a change in conformational state and activity, depending on whether it is bound to GTP or GDP. This protein is activated by several types of guanine nucleotide exchange factors (GEFs), and inactivated by two groups of GTPase-activating proteins (GAPs). The activation status of the encoded protein is therefore affected by the balance of intracellular levels of GEFs and GAPs.
Applications:
ELISA, WB, IHC
Name of antibody:
RAP1A
Immunogen:
Full length fusion protein
Full name:
RAP1A, member of RAS oncogene family
Synonyms:
RAP1; C21KG; G-22K; KREV1; KREV-1; SMGP21
SwissProt:
P62834
ELISA Recommended dilution:
1000-2000
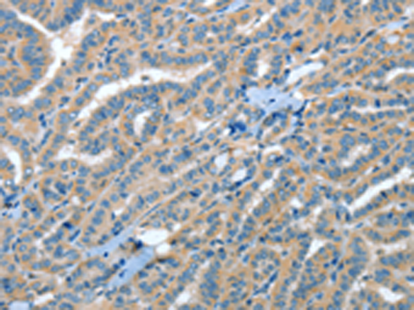
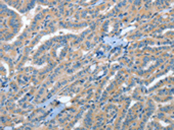
IHC positive control:
Human thyroid cancer and human liver cancer
IHC Recommend dilution:
25-100
WB Predicted band size:
21 kDa
WB Positive control:
Mouse brain tissue
WB Recommended dilution:
200-1000
技術規格


購物車
幫助
021-54845833/15800441009
