中文名稱: 兔抗SFRP5多克隆抗體
英文名稱: Anti-SFRP5 rabbit polyclonal antibody
別 名: SARP3
相關類別: 一抗
儲 存: 冷凍(-20℃)
宿 主: Rabbit
抗 原: SFRP5
反應種屬: Human, Mouse
標 記 物: Unconjugate
克隆類型: rabbit polyclonal
技術規格
|
Background: |
Secreted frizzled-related protein 5 (SFRP5) is a member of the SFRP family that contains a cysteine-rich domain homologous to the putative Wnt-binding site of Frizzled proteins. SFRPs act as soluble modulators of Wnt signaling. SFRP5 and SFRP1 may be involved in determining the polarity of photoreceptor cells in the retina. SFRP5 is highly expressed in the retinal pigment epithelium, and moderately expressed in the pancreas. |
|
Applications: |
ELISA, IHC |
|
Name of antibody: |
SFRP5 |
|
Immunogen: |
Synthetic peptide of human SFRP5 |
|
Full name: |
secreted frizzled-related protein 5 |
|
Synonyms: |
SARP3 |
|
SwissProt: |
Q5T4F7 |
|
ELISA Recommended dilution: |
5000-10000 |
|
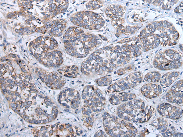
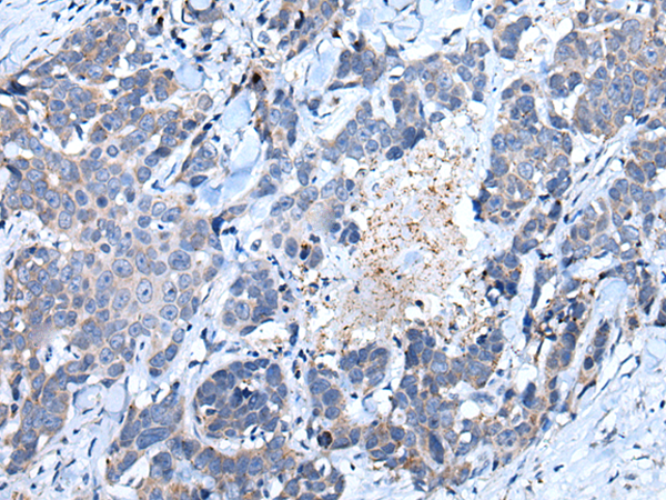
IHC positive control: |
Human esophagus cancer and human thyroid cancer |
|
IHC Recommend dilution: |
25-100 |

購物車
幫助
021-54845833/15800441009
