中文名稱:兔抗SH3KBP1多克隆抗體
英文名稱: Anti-SH3KBP1 rabbit ployclonal antibody
別 名: HSB1; CIN85; GIG10; HSB-1; MIG18; CD2BP3
相關類別: 一抗
儲 存: 冷凍(-20℃)
宿 主: Rabbit
抗 原: SH3KBP1
反應種屬: Human, Mouse, Rat
標記物: Unconjugate
克隆類型: rabbit polyclonal
技術規格
|
Background: |
This gene encodes an adapter protein that contains three N-terminal Src homology domains, a proline rich region and a C-terminal coiled-coil domain. The encoded protein facilitates protein-protein interactions and has been implicated in numerous cellular processes including apoptosis, cytoskeletal rearrangement, cell adhesion and in the regulation of clathrin-dependent endocytosis. Alternate splicing results in multiple transcript variants. |
|
Applications: |
ELISA, WB, IHC |
|
Name of antibody: |
SH3KBP1 |
|
Immunogen: |
Fusion protein of human SH3KBP1 |
|
Full name: |
SH3-domain kinase binding protein 1 |
|
Synonyms: |
HSB1; CIN85; GIG10; HSB-1; MIG18; CD2BP3 |
|
SwissProt: |
Q96B97 |
|
ELISA Recommended dilution: |
2000-5000 |
|
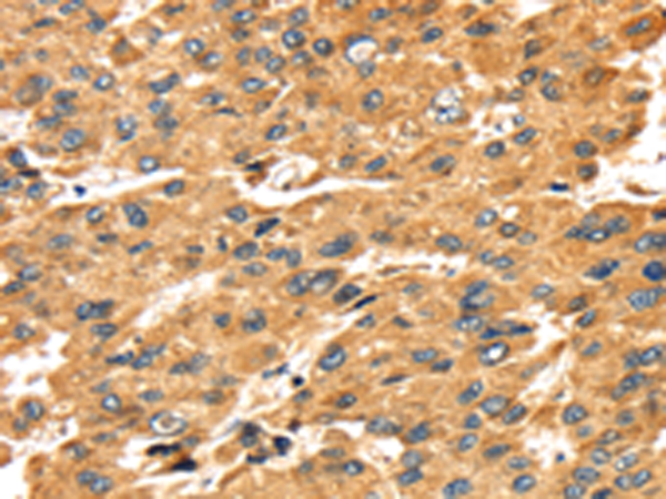
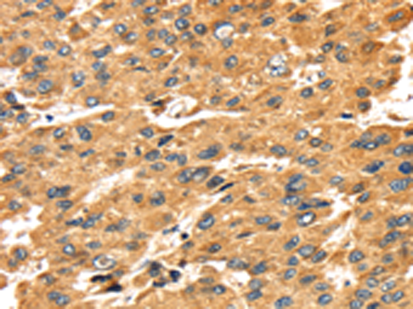
IHC positive control: |
Human liver cancer and human breast cancer |
|
IHC Recommend dilution: |
30-150 |
|
WB Predicted band size: |
73 kDa |
|
WB Positive control: |
Jurkat cells |
|
WB Recommended dilution: |
500-2000 |

購物車
幫助
021-54845833/15800441009
