中文名稱: 兔抗TTC4多克隆抗體
	技術規格
	 
						Background: 
					 
						This gene encodes a protein that contains tetratricopeptide (TPR) repeats, which often mediate protein-protein interactions and chaperone activity. The encoded protein interacts with heat shock proteins 70 and 90. Alternative splicing results in multiple transcript variants. Naturally-occuring readthrough transcription occurs from upstream gene MROH (maestro heat-like repeat family member 7) to this gene. 
					 
						Applications: 
					 
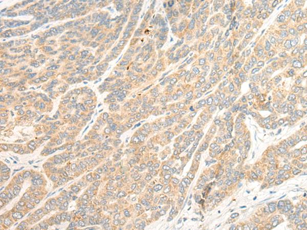
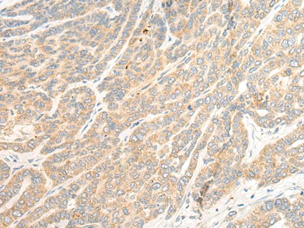
						ELISA, IHC 
					 
						Name of antibody: 
					 
						TTC4 
					 
						Immunogen: 
					 
						Fusion protein of human TTC4 
					 
						Full name: 
					 
						tetratricopeptide repeat domain 4 
					 
						SwissProt: 
					 
						O95801 
					 
						ELISA Recommended dilution: 
					 
						5000-10000 
					 
						IHC positive control: 
					 
						Human liver cancer; 
					 
						IHC Recommend dilution: 
					 
						40-200 
					
		
			
 
				 
			
					 
				
					 
			
				 
			
					 
				
					 
			
				 
			
					 
				
					 
			
				 
			
					 
				
					 
			
				 
			
					 
				
					 
			
				 
			
					 
				
					 
			
				 
			
					 
				
					 
			
				 
			
					 
				
					 
			
				 
		
	
					 
				
					 
			
	

購物車
幫助
021-54845833/15800441009
              