中文名稱: 兔抗NUP88多克隆抗體
英文名稱: Anti-NUP88 rabbit polyclonal antibody
儲 存: 冷凍(-20℃)
抗 原: NUP88
宿 主: Rabbit
反應種屬: Human, Rat
標 記 物: Unconjugate
相關類別: 一抗
克隆類型: rabbit polyclonal
技術規格
|
Background: |
The nuclear pore complex is a massive structure that extends across the nuclear envelope, forming a gateway that regulates the flow of macromolecules between the nucleus and the cytoplasm. Nucleoporins, a family of 50 to 100 proteins, are the main components of the nuclear pore complex in eukaryotic cells. The protein encoded by this gene belongs to the nucleoporin family and is associated with the oncogenic nucleoporin CAN/Nup214 in a dynamic subcomplex. This protein is also overexpressed in a large number of malignant neoplasms and precancerous dysplasias. |
|
Applications: |
ELISA, IHC |
|
Name of antibody: |
NUP88 |
|
Immunogen: |
Synthetic peptide of human NUP88 |
|
Full name: |
nucleoporin 88kDa |
|
SwissProt: |
Q99567 |
|
ELISA Recommended dilution: |
500-1000 |
|
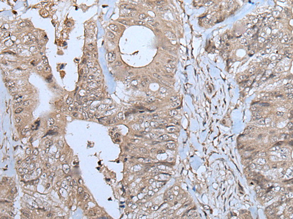
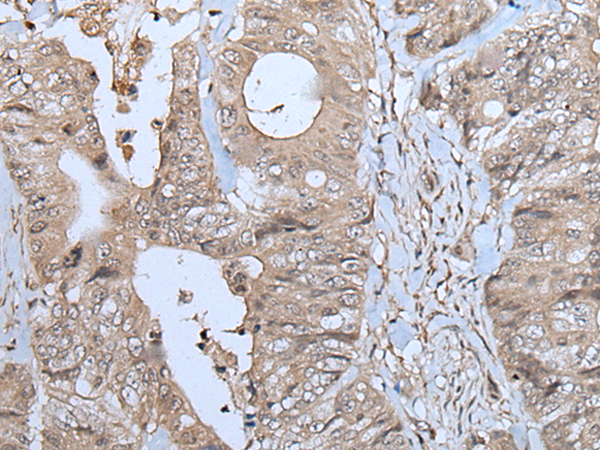
IHC positive control: |
Human colorectal cancer |
|
IHC Recommend dilution: |
25-100 |

購物車
幫助
021-54845833/15800441009
