中文名稱: 兔抗ALX4多克隆抗體
英文名稱: Anti-ALX4 rabbit polyclonal antibody
別 名: ALX homeobox 4 CRS5; FND2
相關類別: 一抗
抗 原: ALX4
儲 存: 冷凍(-20℃)
宿 主: Rabbit
反應種屬: Human, Mouse
標 記 物: Unconjugate
克隆類型: rabbit polyclonal
技術規格
|
Background: |
This gene encodes a paired-like homeodomain transcription factor expressed in the mesenchyme of developing bones, limbs, hair, teeth, and mammary tissue. Mutations in this gene cause parietal foramina 2 (PFM2); an autosomal dominant disease characterized by deficient ossification of the parietal bones. Mutations in this gene also cause a form of frontonasal dysplasia with alopecia and hypogonadism; suggesting a role for this gene in craniofacial development, mesenchymal-epithelial communication, and hair follicle development. Deletion of a segment of chromosome 11 containing this gene, del(11)(p11p12), causes Potocki-Shaffer syndrome (PSS); a syndrome characterized by craniofacial anomalies, mental retardation, multiple exostoses, and genital abnormalities in males. In mouse, this gene has been shown to use dual translation initiation sites located 16 codons apart. |
|
Applications: |
ELISA, IHC |
|
Name of antibody: |
ALX4 |
|
Immunogen: |
Synthetic peptide of human ALX4 |
|
Full name: |
ALX homeobox 4 |
|
Synonyms: |
CRS5; FND2 |
|
SwissProt: |
Q9H161 |
|
ELISA Recommended dilution: |
5000-10000 |
|
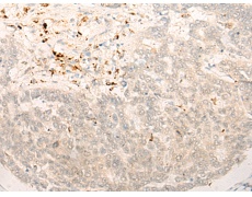
IHC positive control: |
Human liver cancer |
|
IHC Recommend dilution: |
20-100 |
購物車
幫助
021-54845833/15800441009
