中文名稱: 兔抗ODF2多克隆抗體
英文名稱: Anti-ODF2 rabbit polyclonal antibody
別 名: outer dense fiber of sperm tails 2; CT134; ODF84; ODF2/1; ODF2/2
相關類別: 一抗
儲 存: 冷凍(-20℃)
宿 主: Rabbit
抗 原: ODF2
反應種屬: Human, Mouse, Rat
標 記 物: Unconjugate
克隆類型: rabbit polyclonal
技術規格
|
Background: |
The outer dense fibers are cytoskeletal structures that surround the axoneme in the middle piece and principal piece of the sperm tail. The fibers function in maintaining the elastic structure and recoil of the sperm tail as well as in protecting the tail from shear forces during epididymal transport and ejaculation. Defects in the outer dense fibers lead to abnormal sperm morphology and infertility. This gene encodes one of the major outer dense fiber proteins. Alternative splicing results in multiple transcript variants. The longer transcripts, also known as 'Cenexins', encode proteins with a C-terminal extension that are differentially targeted to somatic centrioles and thought to be crucial for the formation of microtubule organizing centers. |
|
Applications: |
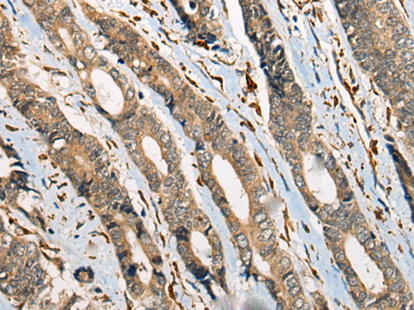
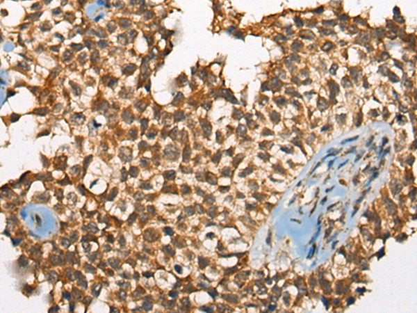
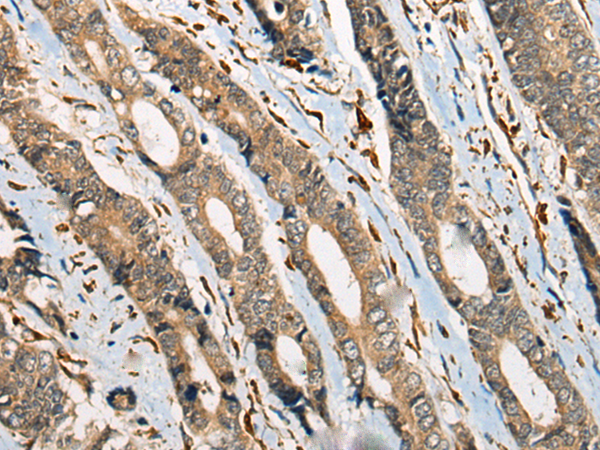
ELISA, IHC |
|
Name of antibody: |
ODF2 |
|
Immunogen: |
Synthetic peptide of human ODF2 |
|
Full name: |
outer dense fiber of sperm tails 2 |
|
Synonyms: |
CT134; ODF84; ODF2/1; ODF2/2 |
|
SwissProt: |
Q5BJF6 |
|
ELISA Recommended dilution: |
5000-10000 |
|
IHC positive control: |
Human tonsil and human ovarian cancer |
|
IHC Recommend dilution: |
30-100 |


購物車
幫助
021-54845833/15800441009
