中文名稱: 兔抗ONECUT1多克隆抗體
英文名稱: Anti-ONECUT1 rabbit polyclonal antibody
別 名: one cut homeobox 1; HNF6; HNF-6; HNF6A
相關類別: 一抗
儲 存: 冷凍(-20℃)
宿 主: Rabbit
抗 原: ONECUT1
反應種屬: Human, Mouse, Rat
標 記 物: Unconjugate
克隆類型: rabbit polyclonal
技術規格
|
Background: |
This gene encodes a member of the Cut homeobox family of transcription factors. Expression of the encoded protein is enriched in the liver, where it stimulates transcription of liver-expressed genes, and antagonizes glucocorticoid-stimulated gene transcription. This gene may influence a variety of cellular processes including glucose metabolism, cell cycle regulation, and it may also be associated with cancer. Alternative splicing results in multiple transcript variants. |
|
Applications: |
ELISA, WB, IHC |
|
Name of antibody: |
ONECUT1 |
|
Immunogen: |
Synthetic peptide of human ONECUT1 |
|
Full name: |
one cut homeobox 1 |
|
Synonyms: |
HNF6; HNF-6; HNF6A |
|
SwissProt: |
Q9UBC0 |
|
ELISA Recommended dilution: |
5000-10000 |
|
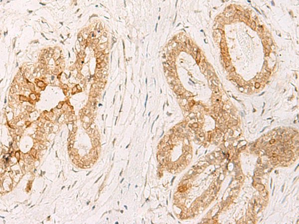
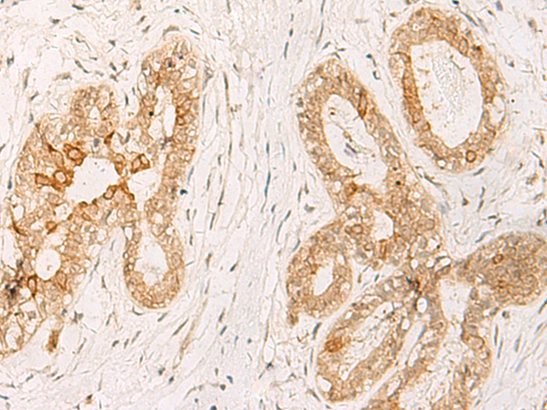
IHC positive control: |
Human breast cancer |
|
IHC Recommend dilution: |
30-150 |
|
WB Predicted band size: |
51 kDa |
|
WB Positive control: |
HepG2 cell lysate |
|
WB Recommended dilution: |
200-1000 |


購物車
幫助
021-54845833/15800441009
