中文名稱: 兔抗MTHFR多克隆抗體
英文名稱: Anti-MTHFR rabbit polyclonal antibody
儲 存: 冷凍(-20℃)
抗 原: MTHFR
宿 主: Rabbit
相關類別: 一抗
反應種屬: Human, Mouse
標 記 物: Unconjugate
克隆類型: rabbit polyclonal
技術規格
|
Background: |
The protein encoded by this gene catalyzes the conversion of 5,10-methylenetetrahydrofolate to 5-methyltetrahydrofolate, a co-substrate for homocysteine remethylation to methionine. Genetic variation in this gene influences susceptibility to occlusive vascular disease, neural tube defects, colon cancer and acute leukemia, and mutations in this gene are associated with methylenetetrahydrofolate reductase deficiency. |
|
Applications: |
ELISA, IHC |
|
Name of antibody: |
MTHFR |
|
Immunogen: |
Synthetic peptide of human MTHFR |
|
Full name: |
methylenetetrahydrofolate reductase (NAD(P)H) |
|
SwissProt: |
P42898 |
|
ELISA Recommended dilution: |
5000-10000 |
|
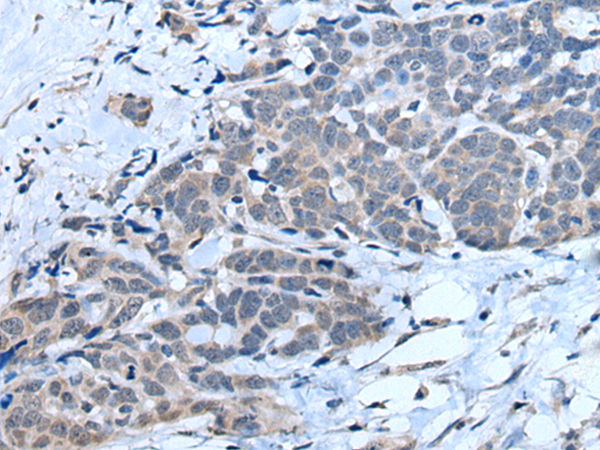
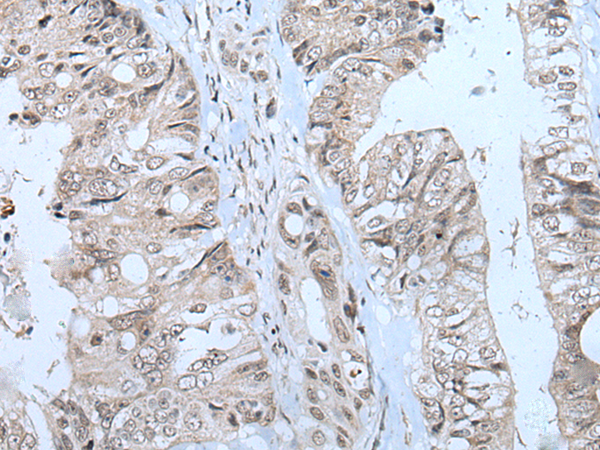
IHC positive control: |
Human liver cancer and human gastric cancer |
|
IHC Recommend dilution: |
25-100 |



購物車
幫助
021-54845833/15800441009
