中文名稱: 兔抗ORC4多克隆抗體
英文名稱: Anti-ORC4 rabbit polyclonal antibody
別 名: origin recognition complex subunit 4; ORC4L; ORC4P
相關類別: 一抗
儲 存: 冷凍(-20℃)
宿 主: Rabbit
抗 原: ORC4
反應種屬: Human, Mouse, Rat
標 記 物: Unconjugate
克隆類型: rabbit polyclonal
技術規格
|
Background: |
The origin recognition complex (ORC) is a highly conserved six subunit protein complex essential for the initiation of the DNA replication in eukaryotic cells. Studies in yeast demonstrated that ORC binds specifically to origins of replication and serves as a platform for the assembly of additional initiation factors such as Cdc6 and Mcm proteins. This gene encodes a subunit of the ORC complex. Several alternatively spliced transcript variants, some of which encode the same protein, have been reported for this gene. |
|
Applications: |
ELISA, IHC |
|
Name of antibody: |
ORC4 |
|
Immunogen: |
Fusion protein of human ORC4 |
|
Full name: |
origin recognition complex subunit 4 |
|
Synonyms: |
ORC4L; ORC4P |
|
SwissProt: |
O43929 |
|
ELISA Recommended dilution: |
5000-10000 |
|
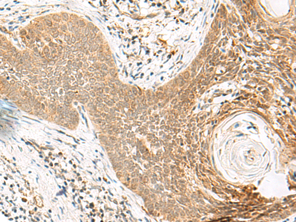
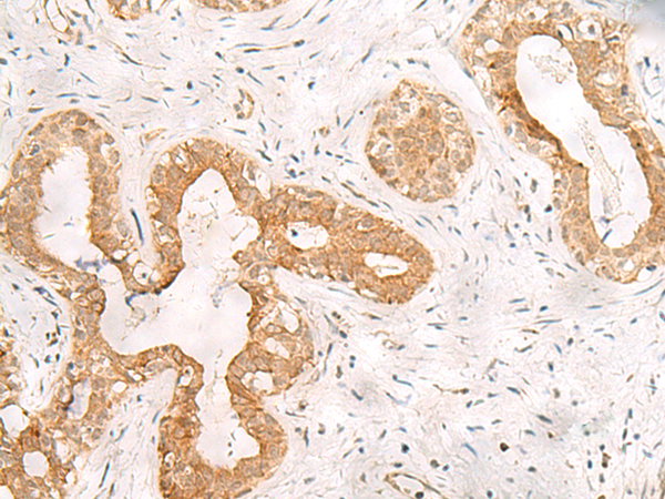
IHC positive control: |
Human tonsil and Human cervical cancer |
|
IHC Recommend dilution: |
40-200 |



購物車
幫助
021-54845833/15800441009
