中文名稱:兔抗CASS4多克隆抗體
英文名稱: Anti-CASS4 rabbit polyclonal antibody
別 名: Cas scaffolding protein family member 4; CAS4; HEFL; HEPL; C20orf32
相關類別: 一抗
儲 存: 冷凍(-20℃)
宿 主: Rabbit
抗 原: CASS4
反應種屬: Human
標 記 物: Unconjugate
克隆類型: rabbit polyclonal
技術規格
|
Background: |
Docking protein that plays a role in tyrosine kinase-based signaling related to cell adhesion and cell spreading. Regulates PTK2/FAK1 activity, focal adhesion integrity, and cell spreading. |
|
Applications: |
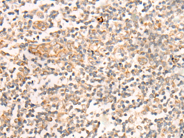
ELISA, IHC |
|
Name of antibody: |
CASS4 |
|
Immunogen: |
Synthetic peptide of human CASS4 |
|
Full name: |
Cas scaffolding protein family member 4 |
|
Synonyms: |
CAS4; HEFL; HEPL; C20orf32 |
|
SwissProt: |
Q9NQ75 |
|
ELISA Recommended dilution: |
5000-10000 |
|
IHC positive control: |
Human tonsil |
|
IHC Recommend dilution: |
20-100 |
購物車
幫助
021-54845833/15800441009
