中文名稱: 兔抗PATJ多克隆抗體
英文名稱: Anti-PATJ rabbit polyclonal antibody
別 名: PATJ, crumbs cell polarity complex component; Cipp; INADL; hINADL; InaD-like
相關類別: 一抗
儲 存: 冷凍(-20℃)
宿 主: Rabbit
抗 原: PATJ
反應種屬: Human
標 記 物: Unconjugate
克隆類型: rabbit polyclonal
技術規格
|
Background: |
This gene encodes a protein with multiple PDZ domains. PDZ domains mediate protein-protein interactions, and proteins with multiple PDZ domains often organize multimeric complexes at the plasma membrane. This protein localizes to tight junctions and to the apical membrane of epithelial cells. A similar protein in Drosophila is a scaffolding protein which tethers several members of a multimeric signaling complex in photoreceptors. |
|
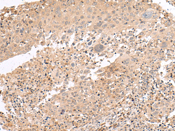
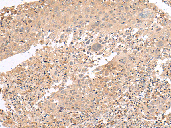
Applications: |
ELISA, IHC |
|
Name of antibody: |
PATJ |
|
Immunogen: |
Synthetic peptide of human PATJ |
|
Full name: |
PATJ, crumbs cell polarity complex component |
|
Synonyms: |
Cipp; INADL; hINADL; InaD-like |
|
SwissProt: |
Q8NI35 |
|
ELISA Recommended dilution: |
5000-10000 |
|
IHC positive control: |
Human cervical cancer |
|
IHC Recommend dilution: |
40-200 |

購物車
幫助
021-54845833/15800441009
