中文名稱: 兔抗PRPS1/2/1L1多克隆抗體
英文名稱 : Anti-PRPS1/2/1L1 rabbit polyclonal antibody
別 名: ARTS; DFN2; PRSI; CMTX5; DFNX1; PRS-I; PPRibP/PRSII/PRPS1; PRPS3; PRPSL; PRS-III
相關類別: 一抗
儲 存: 冷凍(-20℃)
宿 主: Rabbit
抗 原: PRPS1/2/1L1
反應種屬: Human, Mouse
標 記 物: Unconjugate
克隆類型: rabbit polyclonal
技術規格
|
Background: |
PRPS (phosphoribosyl pyrophosphate synthetase) proteins catalyze the synthesis of phosphoribosyl pyrophosphate (PRPP). Three human PRPS isoforms exist and are encoded by three different genes. PRPS1 and PRPS2 (also known as PRS1 and PRS2, respectively) are ubiquitously expressed, while PRPS3 (also known as PRPS1L1) is specific to the testis. PRPP is an important substrate synthesized from MgATP and ribose-5-phosphate in a reaction that requires inorganic phosphate and magnesium as a cofactor. PRPP is essential in the synthesis of nearly all nucleotides, implying that PRPS1/2 play an important role in nucleotide biosynthesis and purine metabolism. A mutation in the gene encoding PRPS1 may result in PRPS superactivity, a disease characterized by gout and the overproduction of purine nucleotides, uric acid and PRPP. PRPS1 mutations can also lead to a reduction in PRPS1 activity resulting in ARTS syndrome or CMTX5 (Charcot-Marie-Tooth disease X-linked recessive type 5). |
|
Applications: |
ELISA, WB, IHC |
|
Name of antibody: |
PRPS1/2/1L1 |
|
Immunogen: |
Synthetic peptide of human PRPS1/2/1L1 |
|
Full name: |
phosphoribosyl pyrophosphate synthetase 1/2/1-like 1 |
|
Synonyms: |
ARTS; DFN2; PRSI; CMTX5; DFNX1; PRS-I; PPRibP/PRSII/PRPS1; PRPS3; PRPSL; PRS-III |
|
SwissProt: |
P60891/P11908/P21108 |
|
ELISA Recommended dilution: |
2000-5000 |
|
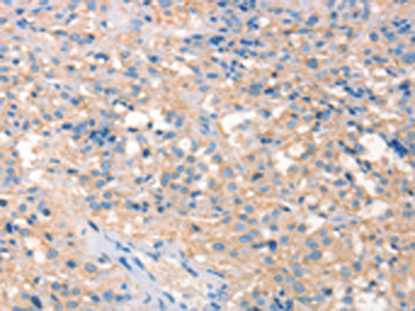
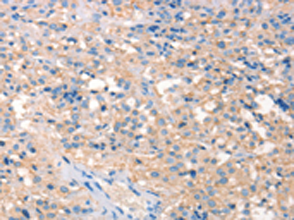
IHC positive control: |
Human thyroid cancer |
|
IHC Recommend dilution: |
25-100 |
|
WB Predicted band size: |
35 kDa |
|
WB Positive control: |
293T cells |
|
WB Recommended dilution: |
500-2000 |


購物車
幫助
021-54845833/15800441009
