中文名稱: 兔抗PCID2多克隆抗體
別 名: F10
相關類別: 一抗
宿 主: Rabbit
標 記 物: Unconjugate
技術規格
|
Background: |
This gene encodes a component of the TREX-2 complex (transcription and export complex 2), which regulates mRNA export from the nucleus. This protein regulates expression of Mad2 mitotic arrest deficient-like 1, a cell division checkpoint protein. This protein also interacts with and stabilizes Brca2 (breast cancer 2) protein. Alternative splicing results in multiple transcript variants. |
|
Applications: |
ELISA, WB, IHC |
|
Name of antibody: |
PCID2 |
|
Immunogen: |
Fusion protein of human PCID2 |
|
Full name: |
PCI domain containing 2 |
|
Synonyms: |
F10 |
|
SwissProt: |
Q5JVF3 |
|
ELISA Recommended dilution: |
5000-10000 |
|
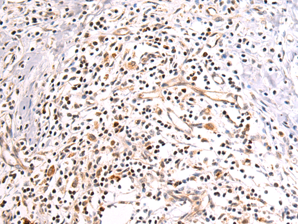
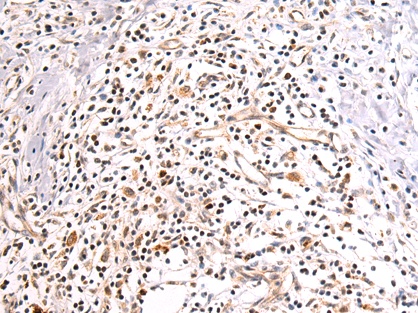
IHC positive control: |
Human thyroid cancer |
|
IHC Recommend dilution: |
50-100 |
|
WB Predicted band size: |
46 kDa |
|
WB Positive control: |
Mouse testis tissue, Rat heart tissue lysates |
|
WB Recommended dilution: |
500-2000 |


購物車
幫助
021-54845833/15800441009
