中文名稱: 兔抗NDUFB10多克隆抗體
英文名稱:Anti-NDUFB10 rabbit polyclonal antibody
別 名: PDSW
相關類別: 一抗
儲 存: 冷凍(-20℃)
宿 主: Rabbit
抗 原: NDUFB10
反應種屬: Human
標 記 物: Unconjugate
克隆類型: rabbit polyclonal
技術規格
|
Background: |
NADH dehydrogenase [ubiquinone] 1 beta subcomplex subunit 10 is an enzyme that in humans is encoded by theNDUFB10 gene. NADH dehydrogenase (ubiquinone) 1 beta subcomplex subunit 10 is an accessory subunit of the NADH dehydrogenase (ubiquinone) complex, located in the mitochondrial inner membrane. It is also known as Complex I and is the largest of the five complexes of the electron transport chain. |
|
Applications: |
ELISA, WB, IHC |
|
Name of antibody: |
NDUFB10 |
|
Immunogen: |
Full length fusion protein |
|
Full name: |
NADH dehydrogenase (ubiquinone) 1 beta subcomplex, 10, 22kDa |
|
Synonyms: |
PDSW |
|
SwissProt: |
O96000 |
|
ELISA Recommended dilution: |
5000-10000 |
|
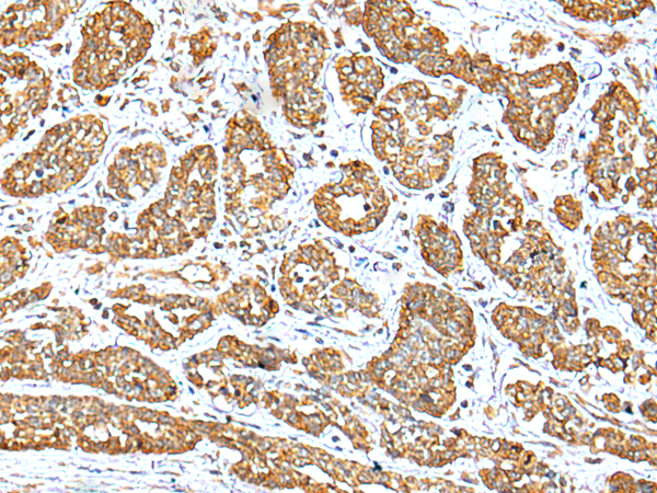
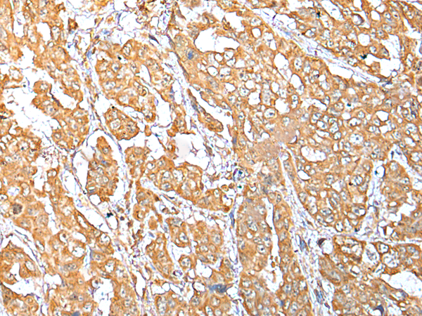
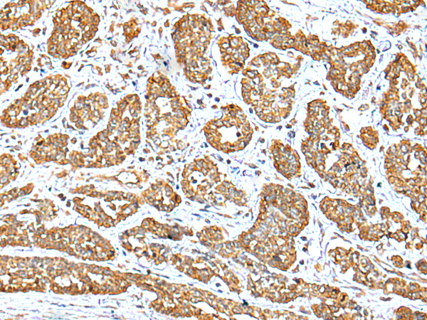
IHC positive control: |
Human breast cancer and human esophagus cancer |
|
IHC Recommend dilution: |
25-100 |
|
WB Predicted band size: |
21 kDa |
|
WB Positive control: |
Jurkat and A549 cell, human fetal muscle tissue |
|
WB Recommended dilution: |
1000-5000 |



購物車
幫助
021-54845833/15800441009
