中文名稱: 兔抗PCLAF多克隆抗體
英文名稱: Anti-PCLAF rabbit polyclonal antibody
別 名: PCNA clamp associated factor; L5; PAF; OEATC; PAF15; OEATC1; p15PAF; NS5ATP9; OEATC-1; p15/PAF; KIAA0101; p15(PAF)
相關類別: 一抗
儲 存: 冷凍(-20℃)
宿 主: Rabbit
抗 原: PCLAF
反應種屬: Human, Mouse, Rat
標 記 物: Unconjugate
克隆類型: rabbit polyclonal
技術規格
|
Background: |
PCNA-binding protein that acts as a regulator of DNA repair during DNA replication. Following DNA damage, the interaction with PCNA is disrupted, facilitating the interaction between monoubiquitinated PCNA and the translesion DNA synthesis DNA polymerase eta (POLH) at stalled replisomes, facilitating the bypass of replication-fork-blocking lesions. Also acts as a regulator of centrosome number. |
|
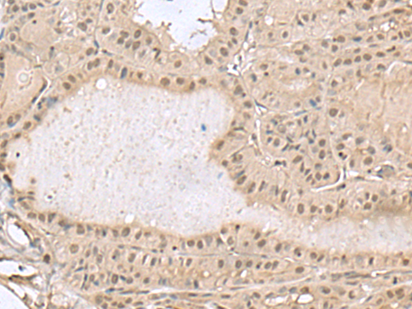
Applications: |
ELISA, IHC |
|
Name of antibody: |
PCLAF |
|
Immunogen: |
Fusion protein of human PCLAF |
|
Full name: |
PCNA clamp associated factor |
|
Synonyms: |
L5; PAF; OEATC; PAF15; OEATC1; p15PAF; NS5ATP9; OEATC-1; p15/PAF; KIAA0101; p15(PAF) |
|
SwissProt: |
Q15004 |
|
ELISA Recommended dilution: |
5000-10000 |
|
IHC positive control: |
Human thyroid cancer |
|
IHC Recommend dilution: |
40-200 |
購物車
幫助
021-54845833/15800441009
