中文名稱: 兔抗ZNF131多克隆抗體
|
Background: |
Zinc-finger proteins contain DNA-binding domains and have a wide variety of functions, most of which encompass some form of transcriptional activation or repression. The majority of zinc-finger proteins contain a Krüppel-type DNA binding domain and a KRAB domain, which is thought to interact with KAP1, thereby recruiting histone modifying proteins. As a member of the krueppel C2H2-type zinc-finger protein family, ZNF131 (Zinc finger protein 131) is a 623 amino acid nuclear protein that contains one BTB (POZ) domain and six C2H2-type zinc fingers. With predominant expression found in brain, it is likely that ZNF131 plays a role as a transcription regulator during development and organogenesis of the adult central nervous system. ZNF131 also represses ER (Estrogen receptor alpha)-mediated transactivation by interrupting ER binding to the estrogen-response element. There are two isoforms of ZNF131 that are produced as a result of alternative splicing events. |
|
Applications: |
ELISA, WB, IHC |
|
Name of antibody: |
ZNF131 |
|
Immunogen: |
Fusion protein of human ZNF131 |
|
Full name: |
zinc finger protein 131 |
|
Synonyms: |
ZBTB35; pHZ-10 |
|
SwissProt: |
P52739 |
|
ELISA Recommended dilution: |
5000-10000 |
|
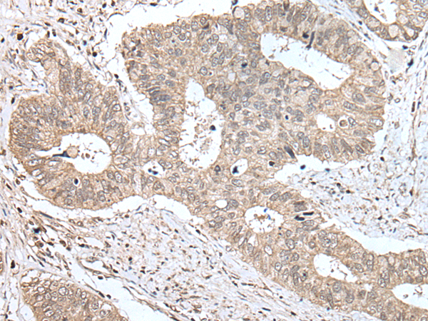
IHC positive control: |
Human lung cancer |
|
IHC Recommend dilution: |
25-100 |
|
WB Predicted band size: |
71 kDa |
|
WB Positive control: |
Human testis tissue and Rat brain tissue lysates,Jurkat and Hela cell lysates |
|
WB Recommended dilution: |
200-1000 |

購物車
幫助
021-54845833/15800441009
