中文名稱: 兔抗SLC1A7多克隆抗體
英文名稱: Anti-SLC1A7 rabbit polyclonal antibody
別 名: AAAT; EAAT5
相關類別: 一抗
儲 存: 冷凍(-20℃)
宿 主: Rabbit
抗 原: SLC1A7
反應種屬: Human, Mouse
標 記 物: Unconjugate
克隆類型: rabbit polyclonal
技術規格
|
Background: |
This gene belongs to the sodium:dicarboxylate (SDF) symporter (TC 2.A.23) family, SLC1A7 subfamily. As transportor of L-glutamate; the L-glutamate uptake is sodium- and voltage-dependent and chloride-independent. Its associated chloride conductance may participate in visual processing.It interacts with the PDZ domains of DLG4. Expressed primarily in retina. Detectable in liver, heart, muscle and brain. |
|
Applications: |
ELISA, IHC |
|
Name of antibody: |
SLC1A7 |
|
Immunogen: |
Synthetic peptide of human SLC1A7 |
|
Full name: |
solute carrier family 1 (glutamate transporter), member 7 |
|
Synonyms: |
AAAT; EAAT5 |
|
SwissProt: |
O00341 |
|
ELISA Recommended dilution: |
2000-5000 |
|
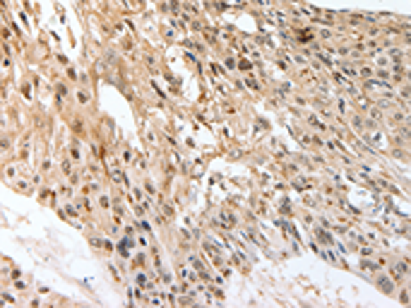
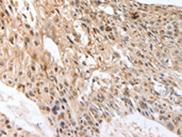
IHC positive control: |
Human esophagus cancer |
|
IHC Recommend dilution: |
50-200 |
購物車
幫助
021-54845833/15800441009
