中文名稱:兔抗SLC4A3多克隆抗體
英文名稱: Anti-SLC4A3 rabbit polyclonal antibody
別 名: solute carrier family 4 member 3; AE3; SLC2C; CAE3/BAE3
相關類別: 一抗
儲 存: 冷凍(-20℃)
宿 主: Rabbit
抗 原: SLC4A3
反應種屬: Human, Mouse, Rat
標記物: Unconjugate
克隆類型: rabbit polyclonal
技術規格
|
Background: |
The protein encoded by this gene is a plasma membrane anion exchange protein. The encoded protein has been found in brain, heart, kidney, small intestine, and lung. |
|
Applications: |
ELISA, IHC |
|
Name of antibody: |
SLC4A3 |
|
Immunogen: |
Synthetic peptide of human SLC4A3 |
|
Full name: |
solute carrier family 4 member 3 |
|
Synonyms: |
AE3; SLC2C; CAE3/BAE3 |
|
SwissProt: |
P48751 |
|
ELISA Recommended dilution: |
5000-10000 |
|
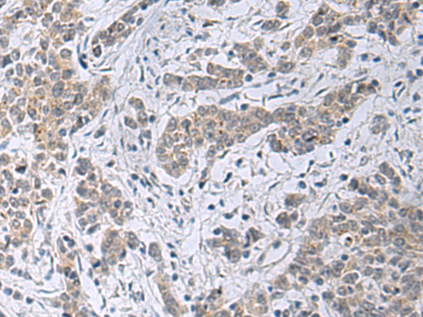
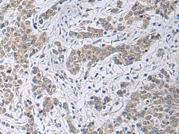
IHC positive control: |
Human esophagus cancer and Human colorectal cancer |
|
IHC Recommend dilution: |
50-100 |

購物車
幫助
021-54845833/15800441009
