中文名稱:兔抗SLC22A24多克隆抗體
英文名稱: Anti-SLC22A24 rabbit polyclonal antibody
相關類別: 一抗
儲 存: 冷凍(-20℃)
宿 主: Rabbit
抗 原: SLC22A24
反應種屬: Human
標記物: Unconjugate
克隆類型: rabbit polyclonal
技術規格
|
Background: |
|
SLC22A24 belongs to a large family of transmembrane proteins that function as uniporters, symporters, and antiporters to transport organic ions across cell membranes (Jacobsson et al., 2007 [PubMed 17714910]). |
|
Applications: |
|
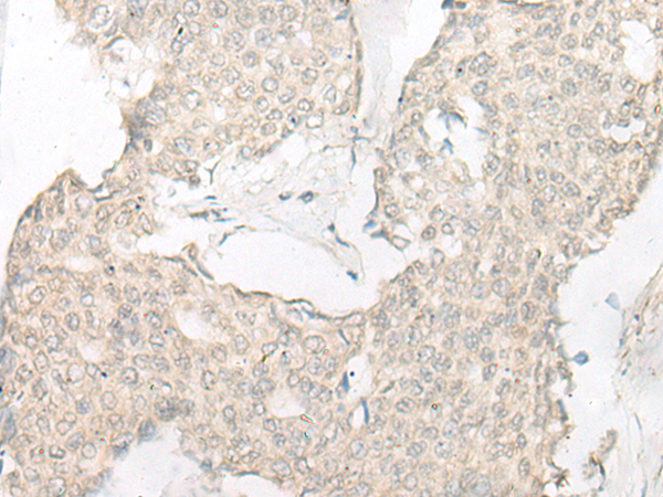
ELISA, IHC |
|
Name of antibody: |
|
SLC22A24 |
|
Immunogen: |
|
Fusion protein of human SLC22A24 |
|
Full name: |
|
solute carrier family 22 member 24 |
|
Synonyms: |
|
NET46 |
|
SwissProt: |
|
Q8N4F4 |
|
ELISA Recommended dilution: |
|
5000-10000 |
|
IHC positive control: |
|
Human ovarian cancer;Human breast cancer |
|
IHC Recommend dilution: |
|
25-100 |

購物車
幫助
021-54845833/15800441009
