中文名稱: 兔抗UNC93B1多克隆抗體
|
Background: |
This gene encodes a protein that is involved in innate and adaptive immune response by regulating toll-like receptor signaling. The encoded protein traffics nucleotide sensing toll-like receptors to the endolysosome from the endoplasmic reticulum. Deficiency of the encoded protein has been associated with herpes simplex encephalitis. |
|
Applications: |
ELISA, IHC |
|
Name of antibody: |
UNC93B1 |
|
Immunogen: |
Synthetic peptide of human UNC93B1 |
|
Full name: |
unc-93 homolog B1, TLR signaling regulator |
|
Synonyms: |
IIAE1; UNC93; UNC93B; Unc-93B1 |
|
SwissProt: |
Q9H1C4 |
|
ELISA Recommended dilution: |
5000-10000 |
|
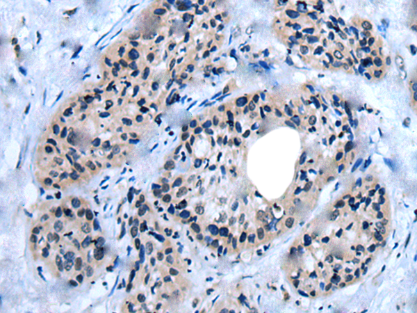
IHC positive control: |
Human cervical cancer |
|
IHC Recommend dilution: |
20-100 |
購物車
幫助
021-54845833/15800441009
