中文名稱:兔抗YARS2多克隆抗體
|
Background: |
This gene encodes a mitochondrial protein that catalyzes the attachment of tyrosine to tRNA(Tyr). Mutations in this gene are associated with myopathy with lactic acidosis and sideroblastic anemia type 2 (MLASA2). Catalyzes the attachment of tyrosine to tRNA(Tyr) in a two-step reaction: tyrosine is first activated by ATP to form Tyr-AMP and then transferred to the acceptor end of tRNA(Tyr). |
|
Applications: |
ELISA, IHC |
|
Name of antibody: |
YARS2 |
|
Immunogen: |
Fusion protein of human YARS2 |
|
Full name: |
tyrosyl-tRNA synthetase 2, mitochondrial |
|
Synonyms: |
TYRRS; CGI-04; MLASA2; MT-TYRRS |
|
SwissProt: |
Q9Y2Z4 |
|
ELISA Recommended dilution: |
1000-5000 |
|
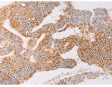
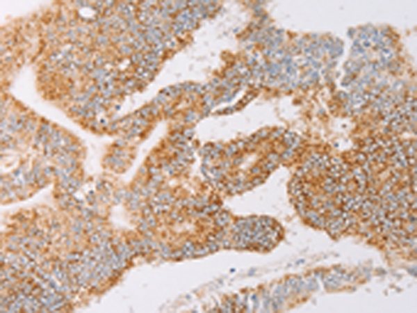
IHC positive control: |
Human colon cancer and human lung cancer |
|
IHC Recommend dilution: |
50-200 |
購物車
幫助
021-54845833/15800441009
