|
Background: |
This gene belongs to the forkhead family of transcription factors which are characterized by a distinct forkhead domain. This gene likely functions as a trigger for apoptosis through expression of genes necessary for cell death. Translocation of this gene with the MLL gene is associated with secondary acute leukemia. Alternatively spliced transcript variants encoding the same protein have been observed. Interacts with YWHAB/14-3-3-beta and YWHAZ/14-3-3-zeta, which are required for cytosolic sequestration. Upon oxidative stress, interacts with STK4/MST1, which disrupts interaction with YWHAB/14-3-3-beta and leads to nuclear translocation. Interacts with PIM1. Interacts with DDIT3/CHOP. |
|
Applications: |
ELISA, IHC |
|
Name of antibody: |
FOXO3 |
|
Immunogen: |
Synthetic peptide of human FOXO3 |
|
Full name: |
forkhead box O3 |
|
Synonyms: |
FOXO2, AF6q21, FKHRL1, FOXO3A, FKHRL1P2 |
|
SwissProt: |
O43524 |
|
ELISA Recommended dilution: |
1000-5000 |
|
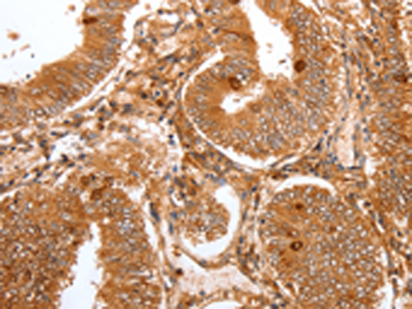
IHC positive control: |
Human cervical cancer |
|
IHC Recommend dilution: |
50-150 |

購物車
幫助
021-54845833/15800441009
