中文名稱: 兔抗PDS5A多克隆抗體
英文名稱: Anti-PDS5A rabbit polyclonal antibody
別 名: PDS5 cohesin associated factor A; PIG54; SCC112; SCC-112
相關類別: 一抗
宿 主: Rabbit
抗 原: PDS5A
反應種屬: Human, Mouse, Rat
標 記 物: Unconjugate
克隆類型: rabbit polyclonal
技術規格
|
Background: |
The protein encoded by this gene binds to the cohesin complex and associates with chromatin through most of the cell cycle. The encoded protein may play a role in regulating sister chromatid cohesion during mitosis. Two transcript variants encoding different isoforms have been found for this gene. |
|
Applications: |
ELISA, IHC |
|
Name of antibody: |
PDS5A |
|
Immunogen: |
Fusion protein of human PDS5A |
|
Full name: |
PDS5 cohesin associated factor A |
|
Synonyms: |
PIG54; SCC112; SCC-112 |
|
SwissProt: |
Q29RF7 |
|
ELISA Recommended dilution: |
5000-10000 |
|
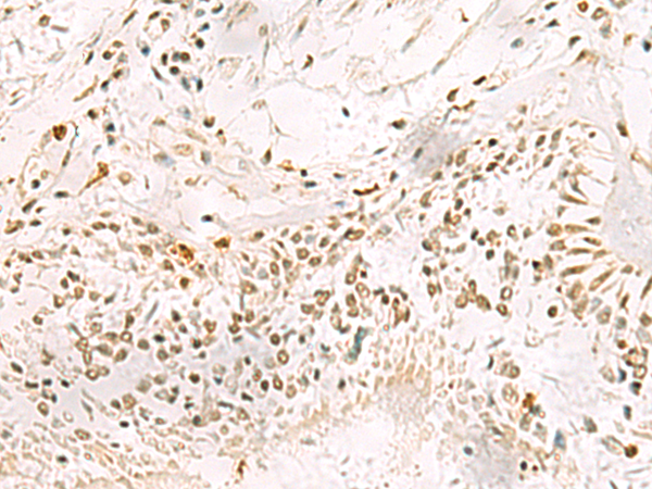
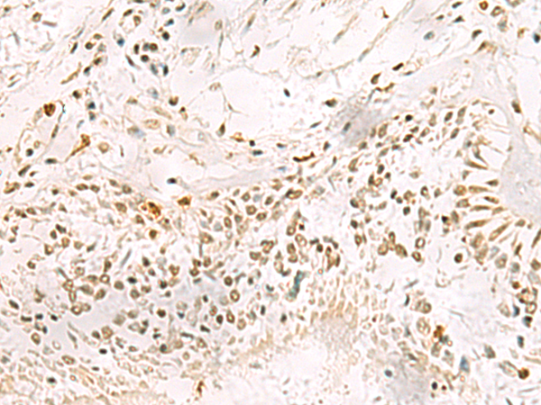
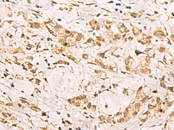
IHC positive control: |
Human gastric cancer and Human lung cancer |
|
IHC Recommend dilution: |
50-200 |
購物車
幫助
021-54845833/15800441009
