中文名稱:兔抗ZNF76多克隆抗體
技術規格
Background:
ZNF76, also known as ZNF523 or Zfp523, is a transcriptional repressor expressed in the testis. It is the human homolog of the Xenopus Staf protein (selenocysteine tRNA gene transcription-activating factor) known to regulate the genes encoding small nuclear RNA and selenocysteine tRNA. ZNF76 localizes to the nucleus and exerts an inhibitory function on p53-mediated transactivation. ZNF76 specifically targets TFIID (TATA-binding protein). The interaction with TFIID occurs through both its N and C termini. The transcriptional repression activity of ZNF76 is predominantly regulated by lysine modifications, acetylation and sumoylation. ZNF76 is sumoylated by PIAS 1 and is acetylated by p300. Acetylation leads to the loss of sumoylation and a weakened TFIID interaction. ZNF76 can be deacetylated by HDAC1. In addition to lysine modifications, ZNF76 activity is also controlled by splice variants. Two isoforms exist due to alternative splicing. These isoforms vary in their ability to interact with TFIID.
Applications:
ELISA, WB, IHC
Name of antibody:
ZNF76
Immunogen:
Synthetic peptide of human ZNF76
Full name:
zinc finger protein 76
Synonyms:
ZNF523; Zfp523; D6S229E
SwissProt:
P36508
ELISA Recommended dilution:
5000-10000
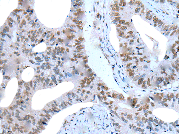
IHC positive control:
Human colorectal cancer
IHC Recommend dilution:
20-100
WB Predicted band size:
62 kDa
WB Positive control:
K562 cell lysate
WB Recommended dilution:
200-1000


購物車
幫助
021-54845833/15800441009
