|
Background: |
The product of this gene is a member of the saposin-like protein (SAPLIP) family and is located in the cytotoxic granules of T cells, which are released upon antigen stimulation. This protein is present in cytotoxic granules of cytotoxic T lymphocytes and natural killer cells, and it has antimicrobial activity against M. tuberculosis and other organisms. Alternatively spliced transcript variants encoding different isoforms have been identified. |
|
Applications: |
ELISA, IHC |
|
Name of antibody: |
GNLY |
|
Immunogen: |
Synthetic peptide of human GNLY |
|
Full name: |
granulysin |
|
Synonyms: |
LAG2; NKG5; LAG-2; D2S69E; TLA519 |
|
SwissProt: |
P22749 |
|
ELISA Recommended dilution: |
5000-10000 |
|
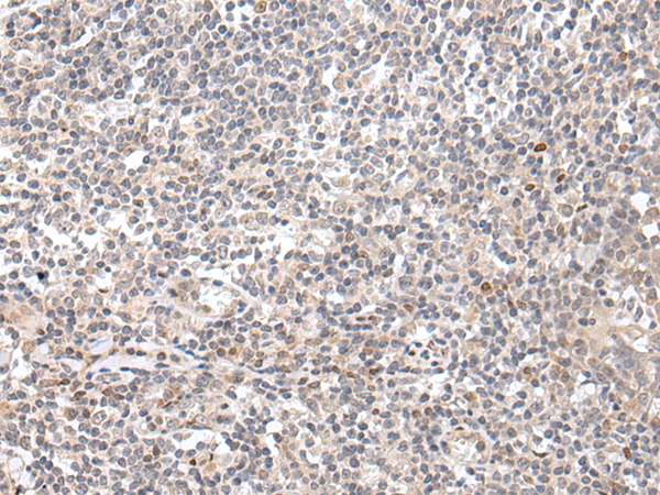
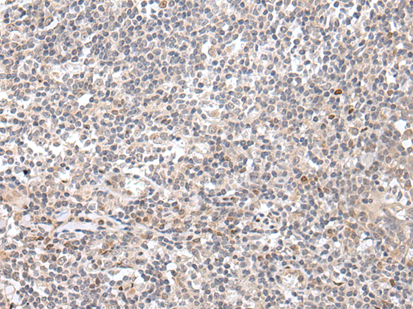
IHC positive control: |
Human tonsil |
|
IHC Recommend dilution: |
25-100 |

購物車
幫助
021-54845833/15800441009
