|
Background: |
Cell surface heparan sulfate proteoglycans are composed of a membrane-associated protein core substituted with a variable number of heparan sulfate chains. Members of the glypican-related integral membrane proteoglycan family (GRIPS) contain a core protein anchored to the cytoplasmic membrane via a glycosyl phosphatidylinositol linkage. These proteins may play a role in the control of cell division and growth regulation. |
|
Applications: |
ELISA, IHC |
|
Name of antibody: |
GPC1 |
|
Immunogen: |
Synthetic peptide of human GPC1 |
|
Full name: |
glypican 1 |
|
Synonyms: |
glypican |
|
SwissProt: |
P35052 |
|
ELISA Recommended dilution: |
2000-5000 |
|
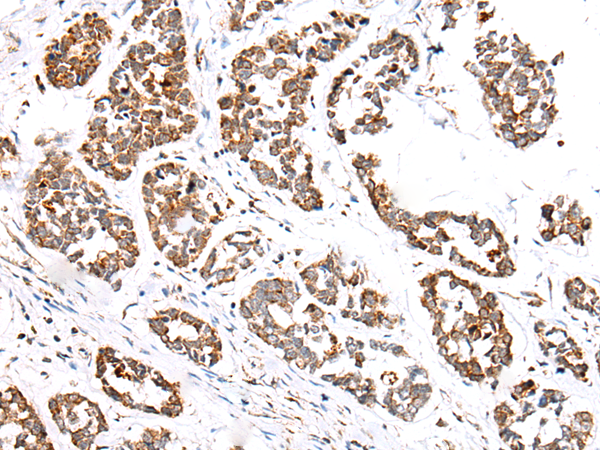
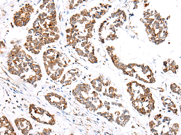
IHC positive control: |
Human esophagus cancer |
|
IHC Recommend dilution: |
20-100 |

購物車
幫助
021-54845833/15800441009
