中文名稱: 兔抗PIGQ多克隆抗體
英文名稱: Anti-PIGQ rabbit polyclonal antibody
別 名: phosphatidylinositol glycan anchor biosynthesis class Q; GPI1; c407A10.1
相關類別: 一抗
儲 存: 冷凍(-20℃)
宿 主: Rabbit
抗 原: PIGQ
反應種屬: Human
標 記 物: Unconjugate
克隆類型: rabbit polyclonal
技術規格
|
Background: |
This gene is involved in the first step in glycosylphosphatidylinositol (GPI)-anchor biosynthesis. The GPI-anchor is a glycolipid found on many blood cells and serves to anchor proteins to the cell surface. This gene encodes a N-acetylglucosaminyl transferase component that is part of the complex that catalyzes transfer of N-acetylglucosamine (GlcNAc) from UDP-GlcNAc to phosphatidylinositol (PI). Alternatively spliced transcript variants encoding different isoforms have been found for this gene. |
|
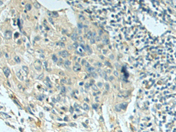
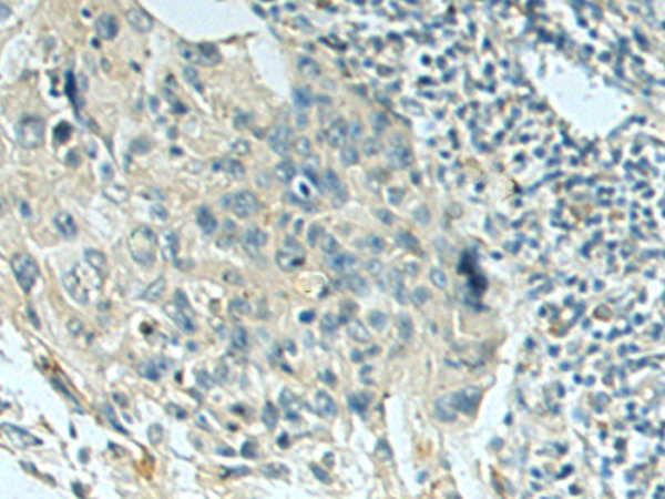
Applications: |
ELISA, IHC |
|
Name of antibody: |
PIGQ |
|
Immunogen: |
Fusion protein of human PIGQ |
|
Full name: |
phosphatidylinositol glycan anchor biosynthesis class Q |
|
Synonyms: |
GPI1; c407A10.1 |
|
SwissProt: |
Q9BRB3 |
|
ELISA Recommended dilution: |
5000-10000 |
|
IHC positive control: |
Human esophagus cancer |
|
IHC Recommend dilution: |
50-200 |

購物車
幫助
021-54845833/15800441009
