中文名稱: 兔抗GK5多克隆抗體
別 名: glycerol kinase 5 (putative)
相關(guān)類別: 一抗
儲 存: 冷凍(-20℃)
宿 主: Rabbit
抗 原: GK5
標 記 物: Unconjugate
|
Background: |
GK5(Putative glycerol kinase 5) is also named as ATP:glycerol 3-phosphotransferase 5 and belongs to the FGGY kinase family.It is involved in Glycerol metabolism and catalyzes the phosphorylation of glycerol by ATP, yielding ADP and glycerol-3-phosphate.It has 3 isoforms produced by alternative splicing with the MW of 59 kDa, 34 kDa and 28 kDa. |
|
Applications: |
ELISA, WB, IHC |
|
Name of antibody: |
GK5 |
|
Immunogen: |
Full length fusion protein |
|
Full name: |
glycerol kinase 5 (putative) |
|
SwissProt: |
Q6ZS86 |
|
ELISA Recommended dilution: |
5000-10000 |
|
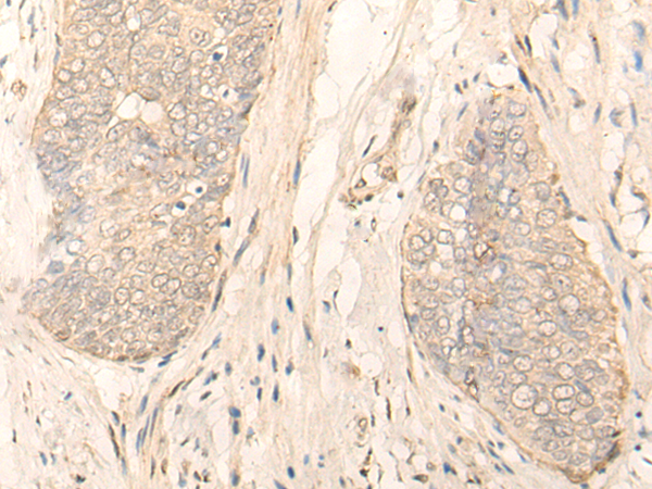
IHC positive control: |
Human esophagus cancer |
|
IHC Recommend dilution: |
30-150 |
|
WB Predicted band size: |
59 kDa |
|
WB Positive control: |
Human breast cancer tissue lysate |
|
WB Recommended dilution: |
500-2000 |


購物車
幫助
021-54845833/15800441009
