中文名稱: 兔抗PMP2多克隆抗體
英文名稱: Anti-PMP2 rabbit polyclonal antibody
別 名: P2; MP2; FABP8; M-FABP
相關類別: 一抗
儲 存: 冷凍(-20℃)
宿 主: Rabbit
抗 原: PMP2
反應種屬: Human, Mouse
標 記 物: Unconjugate
克隆類型: rabbit polyclonal
技術規格
|
Background: |
Peripheral Myelin protein-2 (PMP2, Myelin P2, MP2), a small basic enzyme, is one of the principal proteins of peripheral Myelin and presumably participates in the transport of fatty acids or the metabolism of Myelin lipids. Myelin P2 is similar in amino acid sequence and tertiary structure to fatty acid binding proteins found in the liver, adipocytes and intestine, although its expres-sion is restricted to the nervous system. |
|
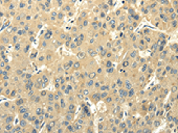
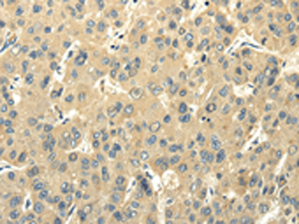
Applications: |
ELISA, WB, IHC |
|
Name of antibody: |
PMP2 |
|
Immunogen: |
Full length fusion protein |
|
Full name: |
peripheral myelin protein 2 |
|
Synonyms: |
P2; MP2; FABP8; M-FABP |
|
SwissProt: |
P02689 |
|
ELISA Recommended dilution: |
2000-10000 |
|
IHC positive control: |
Human liver cancer |
|
IHC Recommend dilution: |
25-100 |
|
WB Predicted band size: |
15 kDa |
|
WB Positive control: |
Mouse fat tissue |
|
WB Recommended dilution: |
1000-5000 |


購物車
幫助
021-54845833/15800441009
