中文名稱: 兔抗MERTK多克隆抗體
英文名稱: Anti-MERTK rabbit polyclonal antibody
抗 原: MERTK
別 名: MER, RP38, c-mer
儲 存: 冷凍(-20℃)
宿 主: Rabbit
相關類別: 一抗
反應種屬: Human, Mouse, Rat
標 記 物: Unconjugate
克隆類型: rabbit polyclonal
技術規格
|
Background: |
This gene is a member of the MER/AXL/TYRO3 receptor kinase family and encodes a transmembrane protein with two fibronectin type-III domains, two Ig-like C2-type (immunoglobulin-like) domains, and one tyrosine kinase domain. Mutations in this gene have been associated with disruption of the retinal pigment epithelium (RPE) phagocytosis pathway and onset of autosomal recessive retinitis pigmentosa (RP). |
|
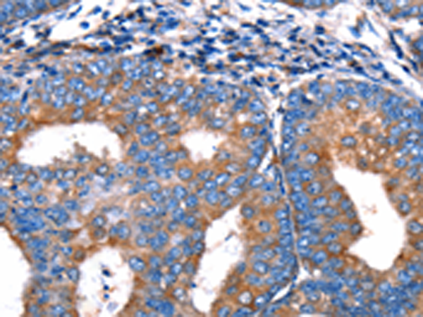
Applications: |
ELISA, IHC |
|
Name of antibody: |
MERTK |
|
Immunogen: |
Fusion protein of human MERTK |
|
Full name: |
c-mer proto-oncogene tyrosine kinase |
|
Synonyms: |
MER, RP38, c-mer |
|
SwissProt: |
Q12866 |
|
ELISA Recommended dilution: |
1000-5000 |
|
IHC positive control: |
Human cervical cancer |
|
IHC Recommend dilution: |
25-100 |

購物車
幫助
021-54845833/15800441009
