中文名稱: 兔抗POLR2K多克隆抗體
英文名稱: Anti-POLR2K rabbit polyclonal antibody
別 名: RPB12; RPABC4; RPB7.0; hRPB7.0; hsRPB10a; RPB10alpha; ABC10-alpha
儲 存: 冷凍(-20℃)
抗 原: POLR2K
宿 主: Rabbit
相關類別: 一抗
反應種屬: Human, Mouse
標 記 物: Unconjugate
克隆類型: rabbit polyclonal
技術規格
|
Background: |
This gene encodes one of the smallest subunits of RNA polymerase II, the polymerase responsible for synthesizing messenger RNA in eukaryotes. This subunit is shared by the other two DNA-directed RNA polymerases. |
|
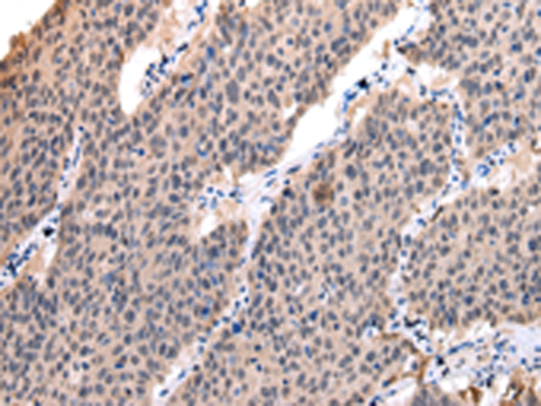
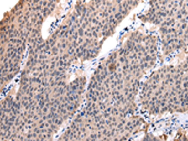
Applications: |
ELISA, IHC |
|
Name of antibody: |
POLR2K |
|
Immunogen: |
Full length fusion protein |
|
Full name: |
polymerase (RNA) II (DNA directed) polypeptide K, 7.0kDa |
|
Synonyms: |
RPB12; RPABC4; RPB7.0; hRPB7.0; hsRPB10a; RPB10alpha; ABC10-alpha |
|
SwissProt: |
P53803 |
|
ELISA Recommended dilution: |
2000-5000 |
|
IHC positive control: |
Human brain |
|
IHC Recommend dilution: |
25-100 |

購物車
幫助
021-54845833/15800441009
