中文名稱:兔抗BAGE4多克隆抗體
英文名稱: Anti-BAGE4 rabbit polyclonal antibody
別 名: CT2.4; MLL3P
抗 原: BAGE4
儲 存: 冷凍(-20℃) 避光
宿 主: Rabbit
反應種屬: Human
相關類別: 一抗
標 記 物: Unconjugate
克隆類型: Unconjugate
技術規格
|
Background: |
Unknown. Candidate gene encoding tumor antigens. |
|
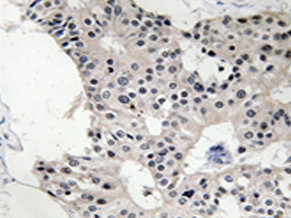
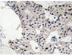
Applications: |
IHC |
|
Name of antibody: |
BAGE4 |
|
Immunogen: |
Synthesized peptide derived from internal of human BAGE4. |
|
Full name: |
B melanoma antigen family, member 4 |
|
Synonyms: |
CT2.4; MLL3P |
|
SwissProt: |
Q86Y28 |
|
IHC positive control: |
Human breast carcinoma tissue |
|
IHC Recommend dilution: |
50-100 |

購物車
幫助
021-54845833/15800441009
