|
Background: |
Orphan receptor. |
|
Applications: |
ELISA, WB, IHC |
|
Name of antibody: |
GPR152 |
|
Immunogen: |
Synthetic peptide of human GPR152 |
|
Full name: |
G protein-coupled receptor 152 |
|
Synonyms: |
PGR5 |
|
SwissProt: |
Q8TDT2 |
|
ELISA Recommended dilution: |
5000-10000 |
|
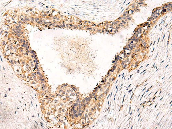
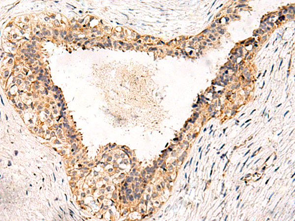
IHC positive control: |
Human breast cancer |
|
IHC Recommend dilution: |
50-300 |
|
WB Predicted band size: |
51 kDa |
|
WB Positive control: |
293T cell lysate |
|
WB Recommended dilution: |
500-2000 |


購物車
幫助
021-54845833/15800441009
