中文名稱: 兔抗POU2AF1多克隆抗體
英文名稱: Anti-POU2AF1 rabbit polyclonal antibody
別 名: BOB1, OBF1, OCAB, OBF-1
相關類別: 一抗
儲 存: 冷凍(-20℃)
抗 原: POU2AF1
宿 主: Rabbit
反應種屬: Human, Mouse
標 記 物: Unconjugate
克隆類型 : rabbit polyclonal
技術規格
|
Background: |
POU domain class 2-associating factor 1 is a protein that in humans is encoded by the POU2AF1 gene. POU2AF1 has been shown to interact with POU2F1 and SIAH1. POU domain class 2-associating factor 1 is a protein that in humans is encoded by the POU2AF1 gene.Transcriptional coactivator that specifically associates with either OCT1 or OCT2. It encourages the OCT1 mediated promoter activity and to a lesser extent, that of OCT2. It has no intrinsic DNA-binding activity. It recognizes the POU domains of OCT1 and OCT2. It is necessary for the response of B-cells to antigens and required for the formation of germinal centers. |
|
Applications: |
ELISA, IHC |
|
Name of antibody: |
POU2AF1 |
|
Immunogen: |
Synthetic peptide of human POU2AF1 |
|
Full name: |
POU class 2 associating factor 1 |
|
Synonyms: |
BOB1, OBF1, OCAB, OBF-1 |
|
SwissProt: |
Q16633 |
|
ELISA Recommended dilution: |
1000-2000 |
|
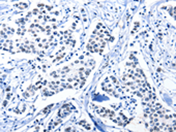
IHC positive control: |
Human breast cancer and Human thyroid cancer |
|
IHC Recommend dilution: |
10-50 |

購物車
幫助
021-54845833/15800441009
