中文名稱 : 兔抗PPIL1多克隆抗體
英文名稱 : Anti-PPIL1 rabbit polyclonal antibody
別 名 : CYPL1; hCyPX; PPIase; CGI-124
儲 存 : 冷凍(-20℃)
宿 主 : Rabbit
抗 原 : PPIL1
反應種屬 : Human, Mouse
相關類別 : 一抗
標 記 物 : Unconjugate
克隆類型 : rabbit polyclonal
技術規格
|
Background: |
This gene is a member of the cyclophilin family of peptidylprolyl isomerases (PPIases). The cyclophilins are a highly conserved, ubiquitous family, members of which play an important role in protein folding, immunosuppression by cyclosporin A, and infection of HIV-1 virions. Based on similarity to other PPIases, this protein could accelerate the folding of proteins and might catalyze the cis-trans isomerization of proline imidic peptide bonds in oligopeptides. |
|
Applications: |
ELISA, WB, IHC |
|
Name of antibody: |
PPIL1 |
|
Immunogen: |
Full length fusion protein |
|
Full name: |
peptidylprolyl isomerase (cyclophilin)-like 1 |
|
Synonyms: |
CYPL1; hCyPX; PPIase; CGI-124 |
|
SwissProt: |
Q9Y3C6 |
|
ELISA Recommended dilution: |
2000-5000 |
|
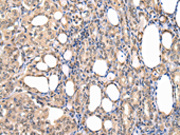
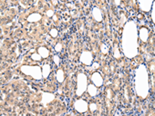
IHC positive control: |
Human thyroid cancer and Human prostate cancer |
|
IHC Recommend dilution: |
25-100 |
|
WB Predicted band size: |
18 kDa |
|
WB Positive control: |
Mouse heart tissue |
|
WB Recommended dilution: |
500-2000 |

購物車
幫助
021-54845833/15800441009
