|
Background: |
The protein encoded by this gene contains a SH2 domain and a CIS homolog domain. The protein thus belongs to the cytokine-induced STAT inhibitor (CIS), also known as suppressor of cytokine signaling (SOCS) or STAT-induced STAT inhibitor (SSI), protein family. CIS family members are known to be cytokine-inducible negative regulators of cytokine signaling. The expression of this gene can be induced by GM-CSF and EPO in hematopoietic cells. A high expression level of this gene was found in factor-independent chronic myelogenous leukemia (CML) and erythroleukemia (HEL) cell lines. |
|
Applications: |
ELISA, WB, IHC |
|
Name of antibody: |
SOCS6 |
|
Immunogen: |
Fusion protein of human SOCS6 |
|
Full name: |
suppressor of cytokine signaling 6 |
|
Synonyms: |
CIS4; SSI4; CIS-4; SOCS4; STAI4; SOCS-4; SOCS-6; STATI4; HSPC060 |
|
SwissProt: |
O14544 |
|
ELISA Recommended dilution: |
5000-10000 |
|
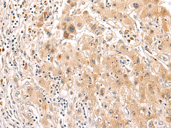
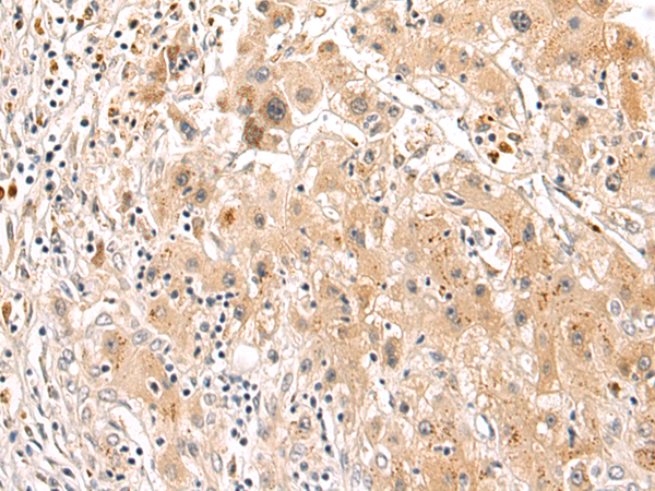
IHC positive control: |
Human liver cancer |
|
IHC Recommend dilution: |
50-200 |
|
WB Predicted band size: |
60 kDa |
|
WB Positive control: |
Human placenta tissue lysate |
|
WB Recommended dilution: |
200-1000 |

購物車
幫助
021-54845833/15800441009
