中文名稱: 兔抗PRDX4多克隆抗體
英文名稱: Anti-PRDX4 rabbit polyclonal antibody
別 名: PRX-4; AOE372; AOE37-2; HEL-S-97n
相關類別: 一抗
儲 存: 冷凍(-20℃)
宿 主: Rabbit
抗 原: PRDX4
反應種屬: Human, Mouse, Rat
標 記 物: Unconjugate
克隆類型: rabbit polyclonal
技術規格
|
Background: |
The protein encoded by this gene is an antioxidant enzyme and belongs to the peroxiredoxin family. The protein is localized to the cytoplasm. Peroxidases of the peroxiredoxin family reduce hydrogen peroxide and alkyl hydroperoxides to water and alcohol with the use of reducing equivalents derived from thiol-containing donor molecules. This protein has been found to play a regulatory role in the activation of the transcription factor NF-kappaB. |
|
Applications: |
ELISA, WB, IHC |
|
Name of antibody: |
PRDX4 |
|
Immunogen: |
Synthetic peptide of human PRDX4 |
|
Full name: |
peroxiredoxin 4 |
|
Synonyms: |
PRX-4; AOE372; AOE37-2; HEL-S-97n |
|
SwissProt: |
Q13162 |
|
ELISA Recommended dilution: |
5000-10000 |
|
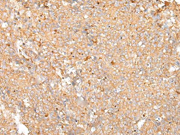
IHC positive control: |
Human cervical cancer |
|
IHC Recommend dilution: |
25-100 |
|
WB Predicted band size: |
30 kDa |
|
WB Positive control: |
MCF-7,K562,HepG2,293T,Raji and Hela cell |
|
WB Recommended dilution: |
500-2000 |


購物車
幫助
021-54845833/15800441009
