中文名稱: 兔抗RBM26多克隆抗體
英文名稱: Anti-RBM26 rabbit polyclonal antibody
別 名: RNA binding motif protein 26; ARRS2; SE70-2; ZC3H17; PRO1777; C13orf10; PPP1R132
相關類別: 一抗
抗 原: RBM26
儲 存: 冷凍(-20℃)
宿 主: Rabbit
反應種屬: Human, Mouse
標 記 物: Unconjugate
克隆類型: rabbit polyclonal
技術規格
|
Background: |
RBM26 (RNA binding motif protein 26) bears two RNA recognition motif (RRM) domains and a C3H1-type zinc finger. The function of RBM26 has not been characterized. |
|
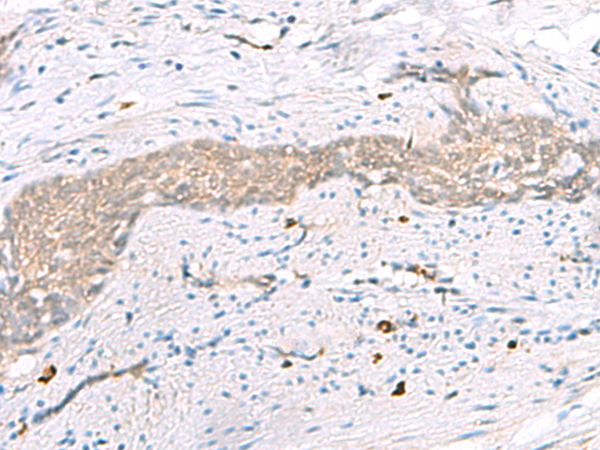
Applications: |
ELISA, IHC |
|
Name of antibody: |
RBM26 |
|
Immunogen: |
Synthetic peptide of human RBM26 |
|
Full name: |
RNA binding motif protein 26 |
|
Synonyms: |
ARRS2; SE70-2; ZC3H17; PRO1777; C13orf10; PPP1R132 |
|
SwissProt: |
Q5T8P6 |
|
ELISA Recommended dilution: |
5000-10000 |
|
IHC positive control: |
Human esophagus cancer |
|
IHC Recommend dilution: |
20-100 |

購物車
幫助
021-54845833/15800441009
