中文名稱: 兔抗PRL多克隆抗體
英文名稱: Anti-PRL rabbit polyclonal antibody
抗 原: PRL
儲 存: 冷凍(-20℃)
宿 主: Rabbit
相關類別: 一抗
反應種屬: Human
標 記 物: Unconjugate
克隆類型: rabbit polyclonal
技術規格
|
Background: |
This gene encodes the anterior pituitary hormone prolactin. This secreted hormone is a growth regulator for many tissues, including cells of the immune system. It may also play a role in cell survival by suppressing apoptosis, and it is essential for lactation. Alternative splicing results in multiple transcript variants that encode the same protein. |
|
Applications: |
ELISA, IHC |
|
Name of antibody: |
PRL |
|
Immunogen: |
Fusion protein of human PRL |
|
Full name: |
prolactin |
|
SwissProt: |
P01236 |
|
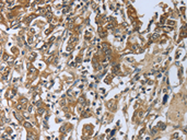
IHC positive control: |
Human gastric cancer |
|
IHC Recommend dilution: |
50-200 |

購物車
幫助
021-54845833/15800441009
