中文名稱: 兔抗PRPF8多克隆抗體
英文名稱: Anti-PRPF8 rabbit polyclonal antibody
別 名: pre-mRNA processing factor 8; PRP8; RP13; HPRP8; PRPC8; SNRNP220
相關類別: 一抗
抗 原: PRPF8
儲 存: 冷凍(-20℃)
宿 主: Rabbit
反應種屬: Human, Mouse
標 記 物: Unconjugate
克隆類型: rabbit polyclonal
技術規格
|
Background: |
Pre-mRNA splicing occurs in 2 sequential transesterification steps. The protein encoded by this gene is a component of both U2- and U12-dependent spliceosomes, and found to be essential for the catalytic step II in pre-mRNA splicing process. It contains several WD repeats, which function in protein-protein interactions. This protein has a sequence similarity to yeast Prp8 protein. This gene is a candidate gene for autosomal dominant retinitis pigmentosa. |
|
Applications: |
ELISA, WB, IHC |
|
Name of antibody: |
PRPF8 |
|
Immunogen: |
Synthetic peptide of human PRPF8 |
|
Full name: |
pre-mRNA processing factor 8 |
|
Synonyms: |
PRP8; RP13; HPRP8; PRPC8; SNRNP220 |
|
SwissProt: |
Q6P2Q9 |
|
ELISA Recommended dilution: |
5000-10000 |
|
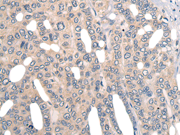
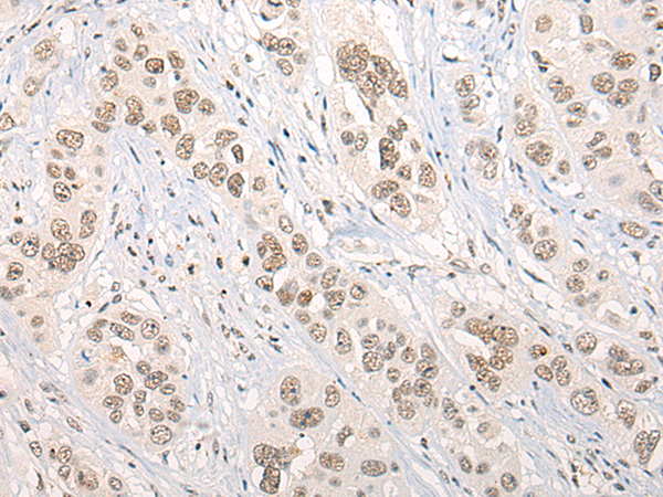
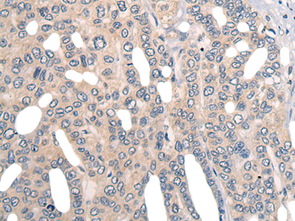
IHC positive control: |
Human lung cancer and Human liver cancer |
|
IHC Recommend dilution: |
20-100 |
|
WB Predicted band size: |
274 kDa |
|
WB Positive control: |
Hela, Raji, K562 and 293T cell lysates |
|
WB Recommended dilution: |
500-2000 |



購物車
幫助
021-54845833/15800441009
