中文名稱: 兔抗PRPH多克隆抗體
英文名稱: Anti-PRPH rabbit polyclonal antibody
別 名: NEF4; PRPH1
儲 存: 冷凍(-20℃)
抗 原: PRPH
宿 主: Rabbit
相關類別: 一抗
反應種屬: Human, Mouse, Rat
標 記 物: Unconjugate
克隆類型: rabbit polyclonal
技術規格
|
Background: |
This gene encodes a cytoskeletal protein found in neurons of the peripheral nervous system. The encoded protein is a type III intermediate filament protein with homology to other cytoskeletal proteins such as desmin, and is a different protein that the peripherin found in photoreceptors. Mutations in this gene have been associated with susceptibility to amyotrophic lateral sclerosis. |
|
Applications: |
ELISA, IHC |
|
Name of antibody: |
PRPH |
|
Immunogen: |
Fusion protein of human PRPH |
|
Full name: |
peripherin |
|
Synonyms: |
NEF4; PRPH1 |
|
SwissProt: |
P41219 |
|
ELISA Recommended dilution: |
2000-5000 |
|
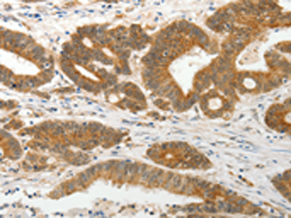
IHC positive control: |
Human colon cancer and Human liver cancer |
|
IHC Recommend dilution: |
25-100 |

購物車
幫助
021-54845833/15800441009
