中文名稱: 兔抗PSME3多克隆抗體
英文名稱: Anti-PSME3 rabbit polyclonal antibody
別 名: PSME3; Ki; PA28-gamma; PA28G; REG-GAMMA
相關類別: 一抗
儲 存: 冷凍(-20℃) 避光
宿 主: Rabbit
抗 原: PSME3
反應種屬: Human, Mouse, Rat
標 記 物: Unconjugate
克隆類型: rabbit polyclonal
技術規格
|
Background: |
The 20S proteasome is the major proteolytic enzyme complex involved in intracellular protein degradation. PA700, PA28, and PA200 are three major protein complexes that function as activators of the 20S proteasome. There are three evolutionarily conserved subunits of PA28: PA28α (PSME1), PA28β (PSME2), and PA28γ (PSME3). PA28α and PA28β form a heteroheptameric complex and function by binding to the 20S complex at its opening site(s). The PA28α/β complex is present throughout the cell and participates in MHC class I antigen presentation by promoting the generation of antigenic peptides from foreign proteins. PA28γ exists in the form of a homoheptamer and is mainly located in the nucleus. The PA28γ complex exerts its function by binding and guiding specific nuclear target proteins to the 20S proteasome for further degradation. |
|
Applications: |
WB, IHC |
|
Name of antibody: |
PSME3 |
|
Immunogen: |
Fusion protein of human PSME3 |
|
Full name: |
proteasome (prosome, macropain) activator subunit 3 (PA28 gamma; Ki) |
|
Synonyms: |
PSME3; Ki; PA28-gamma; PA28G; REG-GAMMA |
|
SwissProt: |
P61289 |
|
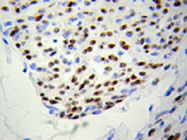
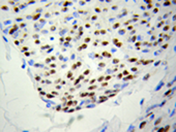
IHC positive control: |
Human colon cancer |
|
IHC Recommend dilution: |
50-200 |
|
WB Predicted band size: |
30 kDa |
|
WB Positive control: |
MCF7 and PC12 cells, mouse spleen tissue |
|
WB Recommended dilution: |
500-2000 |


購物車
幫助
021-54845833/15800441009
