中文名稱: 兔抗ABO多克隆抗體
英文名稱: Anti-ABO rabbit polyclonal antibody
別 名: GTB; NAGAT; A3GALNT; A3GALT1
相關類別: 一抗
儲 存: 冷凍(-20℃)
宿 主: Rabbit
抗 原: ABO
反應種屬: Human
標 記 物: Unconjugate
克隆類型: rabbit polyclonal
技術規格
|
Background: |
This gene encodes proteins related to the first discovered blood group system, ABO. Which allele is present in an individual determines the blood group. The 'O' blood group is caused by a deletion of guanine-258 near the N-terminus of the protein which results in a frameshift and translation of an almost entirely different protein. Individuals with the A, B, and AB alleles express glycosyltransferase activities that convert the H antigen into the A or B antigen. Other minor alleles have been found for this gene. |
|
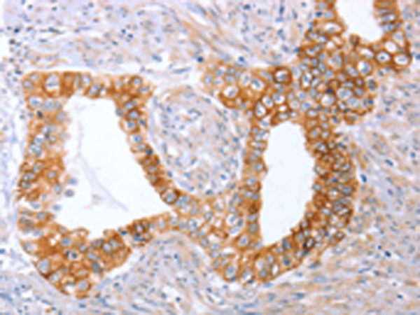
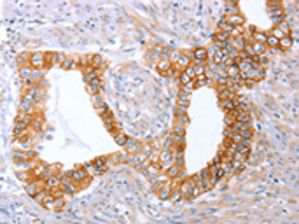
Applications: |
ELISA, IHC |
|
Name of antibody: |
ABO |
|
Immunogen: |
Synthetic peptide of human ABO |
|
Full name: |
ABO blood group (transferase A, alpha 1-3-N-acetylgalactosaminyltransferase; transferase B, alpha 1-3-galactosyltransferase) |
|
Synonyms: |
GTB; NAGAT; A3GALNT; A3GALT1 |
|
SwissProt: |
P16442 |
|
ELISA Recommended dilution: |
1000-5000 |
|
IHC positive control: |
Human cervical cancer and Human liver cancer |
|
IHC Recommend dilution: |
50-200 |
購物車
幫助
021-54845833/15800441009
