中文名稱 : 兔抗PTGDR2多克隆抗體
英文名稱 : Anti-PTGDR2 rabbit polyclonal antibody
別 名 : prostaglandin D2 receptor 2; DP2; DL1R; CD294; CRTH2; GPR44
儲 存 : 冷凍(-20℃)
抗 原 : PTGDR2
宿 主 : Rabbit
反應種屬 : Human, Mouse, Rat
相關類別 : 一抗
標 記 物 : Unconjugate
克隆類型 : rabbit polyclonal
技術規格
|
Background: |
This gene encodes a G-protein-coupled receptor that is preferentially expressed in CD4+ effector T helper 2 (Th2) cells. This protein is a prostaglandin D2 receptor that mediates the pro-inflammatory chemotaxis of eosinophils, basophils, and Th2 lymphocytes generated during allergic inflammation. Single nucleotide polymorphisms in the 3' UTR of this gene have been associated with asthma susceptibility. |
|
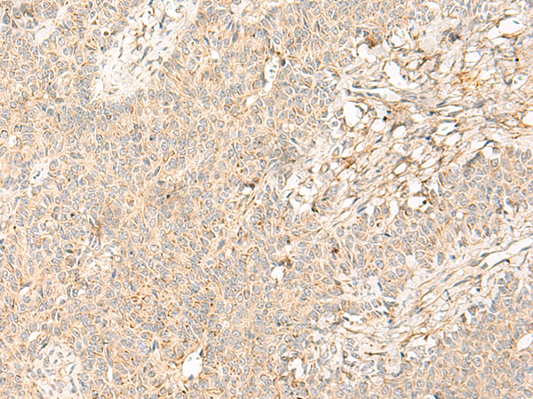
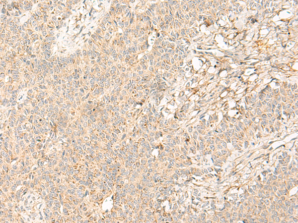
Applications: |
ELISA, IHC |
|
Name of antibody: |
PTGDR2 |
|
Immunogen: |
Synthetic peptide of human PTGDR2 |
|
Full name: |
prostaglandin D2 receptor 2 |
|
Synonyms: |
DP2; DL1R; CD294; CRTH2; GPR44 |
|
SwissProt: |
Q9Y5Y4 |
|
ELISA Recommended dilution: |
5000-10000 |
|
IHC positive control: |
Human tonsil and Human ovarian cancer |
|
IHC Recommend dilution: |
30-150 |


購物車
幫助
021-54845833/15800441009
